Hệ thống máy nội soi 4K AQ-300
Hệ thống máy nội soi tiêu hóa dạ dày, đại tràng, tá tràng, ERCP với chất lượng hình ảnh 4K, 4 chế độ nhuộm màu quang học, chẩn đoán ung thư sớm, điều trị chuyên sâu (EMR, ESD,…).
Cần tư vấn chi tiết?
Hotline: (028) 62 567 888
Thông tin sản phẩm
1. Hình Ảnh Sắc Nét Và Rõ Ràng
Độ phân giải ULtra HD (4K)
Với độ phân giải cao đạt 3840x2160P, máy nội soi Aohua AQ-300 mang tới sự cải tiến vượt bậc trong độ chi tiết và sắc nét của hình ảnh. Số lượng điểm ảnh cao giúp ghi lại được nhiều chi tiết hơn về cấu trúc và hình thể. Mang lại trải nghiệm hình ảnh rõ nét và sống động.
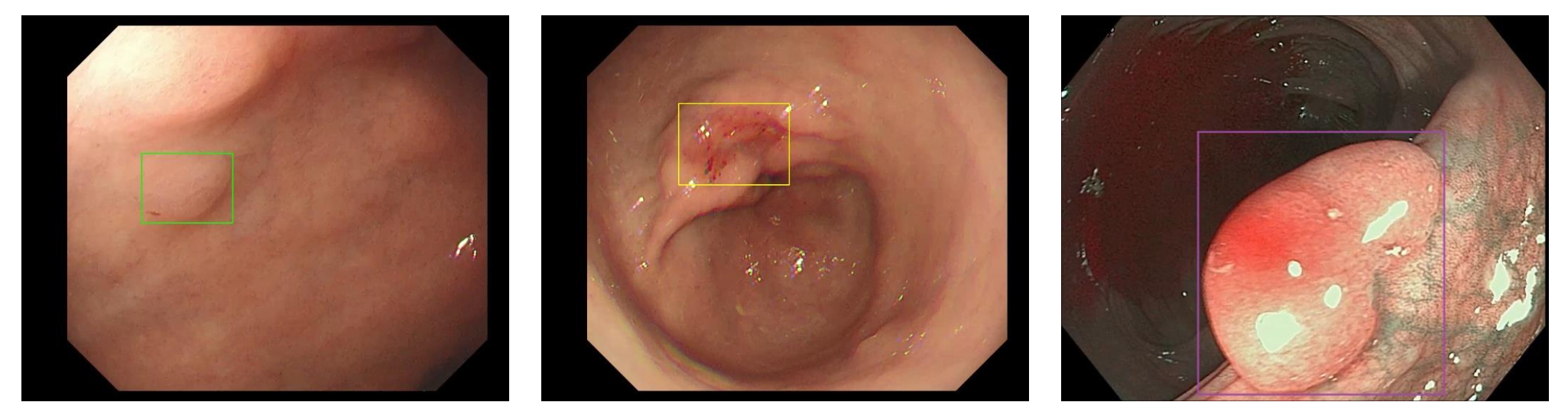
Hình ảnh nội soi đại tràng bằng máy nội soi Aohua AQ-300
3 dây dẫn sáng

Ống soi được thiết kế 3 dây dẫn sáng có độ lớn bằng nhau giúp trường nhìn được chiếu sáng tốt và đồng đều hơn.
Công nghệ lấy nét kép

Dây soi với công nghệ lấy nét kép cho hình ảnh rõ nét và chi tiết hơn. Dễ dàng chuyển đổi giữa chế độ lấy nét bình thường và lấy nét kép bằng 1 thao tác trên tay cầm.
2. Nhìn Thấy Những Điều Không Thể
4 Chế Độ Nhuộm Màu Quang Học
Hệ thống máy nội soi AQ-300 cung cấp 4 chế độ nhuộm màu quang học nhờ sự kết hợp linh hoạt giữa nguồn sáng 5 LED. Các chế độ này mang đến giải pháp hiệu quả, đáp ứng các thách thức lâm sàng khác nhau.

- CBI Regular: Thấy được phạm vi tổn thương niêm mạc và làm nổi bật sự phân bố của các mạch máu dưới niêm mạc.
- CBI Indigo: Xác định ranh giới của tổn thương nghi ngờ nhờ tăng cường độ tương phản giữa mạch máu và niêm mạc.
- CBI Aqua: Tăng cường khả năng quan sát cấu trúc mô niêm mạc.
- CBI Amber: Tăng cường khả năng quan sát các mạch máu sâu và các điểm chảy máu giúp xác định và cầm máu tốt hơn.
Phóng đại quang học 4K

Ống soi có độ phóng đại quang học lên đến 140 lần, giúp phóng đại hình ảnh mà không làm giảm độ phân giải và chi tiết hình ảnh.
3. Nền Tảng Làm Việc Dễ Dàng Và Hiệu Quả
Hiển Thị Hình Ảnh Kép
Hiển thị đồng thời hình ảnh ánh sáng trắng và nhuộm màu quang học trên cùng một màn hình, giúp phân biệt rõ ràng giữa hai chế độ quan sát.

Ngoài ra, màn hình máy nội soi Aohua AQ-300 còn có chức năng dừng hình trong thời gian thực, giúp bác sĩ có thể xem xét kỹ các tổn thương hoặc bất thường.
Cấp Nguồn Không Dây
Dây nội soi không cần sử dụng cáp nối điện, kết nối với nguồn sáng chỉ với 1 chạm.
![]() |
|
Bảng Điều Khiển Cảm Ứng Thông Minh
Thuận tiện hơn khi làm việc nhờ chức năng nhận diện ống soi, nhận diện khuôn mặt và điều khiển bằng giọng nói.
4. Cải Tiến Vì Người Dùng
Trường nhìn FoV
- Trường nhìn của dây nội soi đại tràng là 170⁰, giúp thu hẹp vùng mù khi rút ống soi ra.
- Trường nhìn của dây nội soi dạ dày là 145⁰ kết hợp với góc cong xuống 120⁰, giúp giảm thiểu những điểm khó quan sát.
Thế hệ dây nội soi đại tràng mới
Hệ thống ống soi AQ-300 được cải tiến với những ưu điểm nổi bật:

- Truyền lực đồng bộ: Truyền tải hiệu quả lực đẩy – kéo và lực xoay đến đầu ống nội soi đại tràng, giúp tiếp cận manh tràng dễ dàng hơn.
- Uốn cong đàn hồi: Đầu ống nội soi tự điều chỉnh theo góc lái của đại tràng giúp giảm thiểu thao tác và tăng sự thoải mái cho bệnh nhân.
- Điều chỉnh độ cứng linh hoạt: Điều chỉnh độ cứng/mềm của ống nội soi qua núm điều chỉnh. Giúp ống soi dễ dàng đi qua từng đoạn khác nhau của đại tràng.
Giảm mệt mỏi nhờ thiết kế tay cầm công thái học
![]() |
|
5. Ống Soi Đa Dạng Cho Nhiều Nhu Cầu Khác Nhau
Danh mục dây nội soi đa dạng: nội soi tiêu hóa, khí phế quản, tai mũi họng, ống mật chủ,…

- Dây nội soi đường kính nhỏ: dây soi dạ dày với đường kính thân ống chỉ 5.8mm và dây soi đại tràng với chỉ 9.8mm.
- Kênh dụng cụ lớn: Đường kính kênh dụng cụ lớn 3.8mm, tương thích với nhiều loại dụng cụ nội soi.
- Dây soi đại tràng có thể uốn cong 210⁰ cho phép quan sát vùng tổn thương dễ dàng hơn.
6. Hỗ Trợ Nội Soi Bằng Trí Tuệ Nhân Tạo (AI)
Aohua Endo Mate – công nghệ trí tuệ nhân tạo tiên tiến hỗ trợ quy trình nội soi, nâng cao chất lượng chẩn đoán và điều trị.
- Tự động phát hiện tổn thương theo thời gian thực và đánh giá mức độ tổn thương bằng các màu sắc khác nhau.

- Kiểm soát chất lượng nội soi
| Nội soi đường tiêu hóa trên:
|
|
| Nội soi đường tiêu hóa dưới:
|
|
- Tổng hợp và báo cáo: Xem lại dữ liệu lâm sàng theo từng ca bệnh và tổng hợp hiệu suất quy trình theo các tiêu chí khác nhau.

Sản phẩm tương tự
Size chart
This is just a placeholder
Sometimes it’s nice to put in text just to get an idea of how text will fill in a space on your website.
CM | 22,1 | 22,5 | 22,9 | 23,3 | 23,8 | 24,2 | 24,6 | 25 | 25,5 | 26,3 | 26,7 | 27,1 | 27,6 | 28 |
|---|---|---|---|---|---|---|---|---|---|---|---|---|---|---|
EUR | 36 | 36 2/3 | 37 1/3 | 38 | 38 2/3 | 39 1/3 | 40 | 40 2/3 | 41 1/3 | 42 | 42 2/3 | 43 1/3 | 44 | 44 2/3 |
UK | 3,5 | 4 | 4,5 | 5 | 5,5 | 6 | 6,5 | 7 | 7,5 | 8 | 8,5 | 9 | 9,5 | 10 |
US-MEN | 4 | 4,5 | 5 | 5,5 | 6 | 6,5 | 7 | 7,5 | 8 | 8,5 | 9 | 9,5 | 10 | 10,5 |
US-Women | 5 | 5,5 | 6 | 6,5 | 7 | 7,5 | 8 | 8,5 | 9 | 9,5 | 10 | 10,5 | 11 | 11,5 |
Size measurement
Choose the right size by following these simple instructions. The best time to measure your feet is in the evening.
1. Stand on a piece of paper against a wall with your heels gently touching the wall.
2. On the paper, mark where your longest finger ends (you may need someone to help you with this) and measure the distance from the mark to the wall.
3. Measure the other leg in the same way and use the measurements to select the appropriate size in our table.




































